用科技的思维创造具有实用价值的产品!

创新定义价值 • 数据驱动未来

产品中心 • 健升用心做好产品!

产品1

健升智能健康服务平台

健升智能健康管理软件

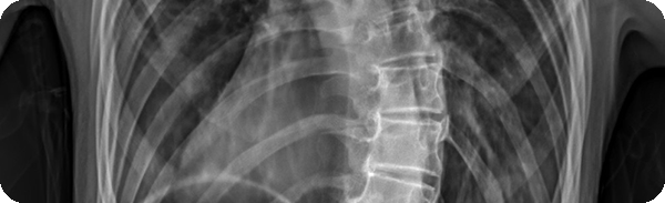
健升AI Cobb角智能研判大模型

脊柱侧弯电子测量仪(ST-101)

脊柱曲度电子测量仪(CT-101)

颈椎活动度电子测量仪(CR-101)

》》 点击这里了解更多产品 《《

解决方案

中小学生脊柱侧弯入校筛查方案

依托健升平台信息化、脊柱侧弯电子测量仪智能化技术,构建“筛查—评估—干预—复查—管理”的全链条闭环应用体系,助力教育系统、卫健系统、疾控体系建立可持续的脊柱侧弯综合管理机制。

中小学生扁平足入校筛查方案

健升平台联合健升足底压力测试仪,构建了“入校筛查—风险评估—训练干预—复查随访”的数字化闭环管理模式,帮助教育系统和卫健系统实现学生足部健康的持续监管与干预。

中小学生“五小”入校筛查方案

健升平台以数字化、智能化手段,整合“多模块检测设备+云端数据平台+AI智能分析”,构建出一体化、闭环式的校园健康筛查管理体系。

中小学生“四小”入校筛查方案

健升平台整合脊柱健康、视力健康、心理健康、体重管理四大模块,形成标准化入校筛查与复查体系,为教育行政部门、卫健机构、学校健康管理提供数据支撑和干预依据。

脊柱侧弯影像分析Cobb角快速识别方案

健升AI Cobb角智能研判系统可与影像科无缝对接,实现X光片Cobb角的自动识别、结构化输出与系统级API集成,帮助医务人员快速完成脊柱侧弯影像评估,显著提升效率与准确性。

脊柱侧弯康复体系建设方案

健升智能健康服务平台依托健升产品体系,构建集筛查评估、康复训练、支具管理、数据监测与随访于一体的数字化脊柱侧弯康复体系,实现康复全流程智能化与标准化管理。

》》 点击这里了解更多方案 《《

联系我们 • 期待您的沟通!

上海健升智能技术有限公司

地址:上海市浦东新区金海路2588号上海交大科技园B200室

全国服务热线:400-168-0007

营销合作:18918196769(同微信)